





Knee joint: The knee joint is a hinge type of joint and is formed by the junction of lower end of femur (thigh bone), upper end of tibia (leg bone) and patella (knee cap). Ends of these bones are covered by the cartilage which helps it to moves smoothly. If damaged, cartilage cannot repair itself. The knee joint is covered by synovium and is immersed in synovial fluid which gives nutrients to cartilage. Knee joint sustains maximum stress, since it supports the entire body weight.
The people with damaged knee with severe pain which limits day to day activities and development of deformities like inward or outward bending of legs, indicates the need of knee replacement. The following are the most severe causes of joint replacement:
It’s an age related degeneration of knee joint that involves the wearing away of normal cartilage. This result in rubbing of two uneven surfaces of bones together that produces pain and stiffness.
The people with damaged knee with severe pain which limits day to day activities and development of deformities like inward or outward bending of legs, indicates the need of knee replacement. The following are the most severe causes of joint replacement:
Injuries in form of fractures, ligament injuries of the knee, also lead to the damage of the cartilage and causes pain, stiffness and loss of mobility
There is no specific answer to this question. But if you are having difficulty in getting up, going to washroom, have a change in walking pattern or pain while walking for very short distances, is the time where you should go for joint replacement. A thorough examination by knee surgeon should yield a recommendation.
For some, lifestyle modifications, physical therapy, medication can help manage knee problems. Also, you may want to speak to your surgeon about other procedures that are commonly recommended before resorting to knee replacement surgery, including hyaluronic acid injections and arthroscopic surgery that addresses the damaged cartilage. However, delaying or declining a necessary knee replacement could result in a less favorable outcome. Ask yourself: Have I tried everything? Is my knee holding me back from doing the things I enjoy?
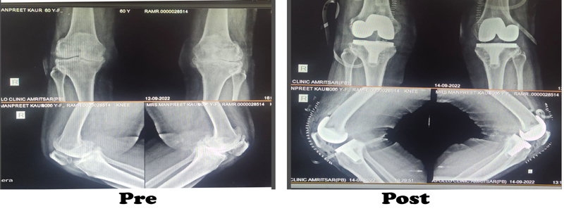
During the knee replacement surgery, the worn out surface (cartilage) of the joint is removed and is capped with implants called as endo-prosthesis. The femur and tibial sides are metal backed and in between there is polyethylene ‘insert’. The patella may or may not be replaced, depending upon the surgeon preference and condition of patellar cartilage.
The surgeon will make an incision on the top of your knee in order to expose the damaged area of your joint. The standard incision size can be as long as 10 inches, but a minimally invasive procedure can result in incisions as short as 6 inches. During the operation, the surgeon moves your kneecap aside and cuts away damaged bone and cartilage, which are then replaced with new metal and plastic components. The components combine to form a synthetic (but biologically compatible) joint that mimics the movement of your natural knee. Most knee replacement procedures take 30min - 1 hour to complete.
Implants are comprised of metal and medical-grade plastic. To seal these components to your bone, bone cement is used, which typically takes about 7-8 minutes to set.
Any surgery with anesthesia has risks. However, complication rates and mortality for general anesthesia are extremely low. An anesthesia team will determine whether general anesthesia or spinal, epidural, or regional nerve block anesthesia is best for you. So, before going in for surgery, it is important to get the medical fitness first.
Although you will experience some pain after surgery, it should diminish quickly—within four or five days maximum. Your doctor will most likely prescribe medication to help you manage the pain, which will be administered through intravenously (IV) route immediately after surgery. After you are released from the hospital, you will switch to painkillers taken orally. Your willingness to engage in physical therapy and make lifestyle modifications can have a significant impact on your post-surgery level of pain and adjustment to the implant.
You will wake up with a bandage over your knee and, in most cases, a drain to remove fluid from the joint. It is likely that you will wake up with your knee elevated. A doctor might also insert a catheter so you don’t have to get out of bed to get to a toilet. Your doctor will administer antibiotics intravenously and you may receive blood thinners to reduce the odds of a clot.
Most patients are up and walking within a day or two—with the aid of a walker or crutches. A physical therapist will help you bend and straighten your knee a few hours after your surgery. After you return home, therapy will continue regularly for weeks and you will be asked to engage in specific exercises designed to improve the functionality of the knee. During the weeks after surgery, your doctor will wean you from pain medication.
If you live in a multiple story house, prepare a bed and space on the ground floor so that you can avoid the stairs when you first return. Make sure the house is free of obstructions and hazards including power cords, area rugs, clutter, and furniture. Focus specially on pathways, hallways, and other places where you are likely to have to walk through. You may want to add a hand shower and English toilet seat.
Your doctor will prescribe mobility equipment that you need, like a walker and commode chair.
You should be able to resume normal daily activities—such as walking and bathing—within several days. Low impact exercise should also be doable after your rehabilitation period, typically six to 12 weeks. Consult with your physical therapist about introducing new activities during this rehabilitation period. You should avoid running, jumping and other high impact activities. You can do activities like driving, morning walks and playing golf after 6-8 weeks after surgery.
Studies show that upwards of 85 percent of patients still have a functioning artificial joint 20 years after receiving it. However, wear and tear on the joint can adversely affect its performance and lifespan. Younger patients are more likely to have the joint wear out and require a revision during their lifetime. Consult with a doctor about what’s right for you.
Recent advances in the form of minimal invasive (small cut) surgery, knees with high flex joints where one can still cross legs, joints that lasts longer, lesser blood loss, early recovery and holistic patient care, are the things which is offered to you by his team under his leadership.
Website Designed By: Quick n Host